
Before & Afters
Real Patient Transformations
Changing Lives, One Smile At A Time
Many patients step into our practice with dreams of a brand new grin. Others are looking to repair damage and get their oral health back on track. Seeing these individuals walk out of our doors with a strong smile and newfound confidence is the reason behind our mission here at Folsom Family Dentistry. No matter your goals, we’re honored to be a part of your oral health journey. Take a look at our Before & After gallery to explore real patient stories!




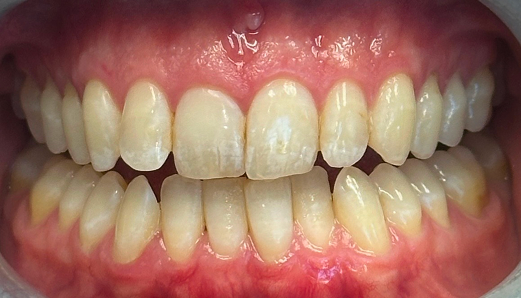
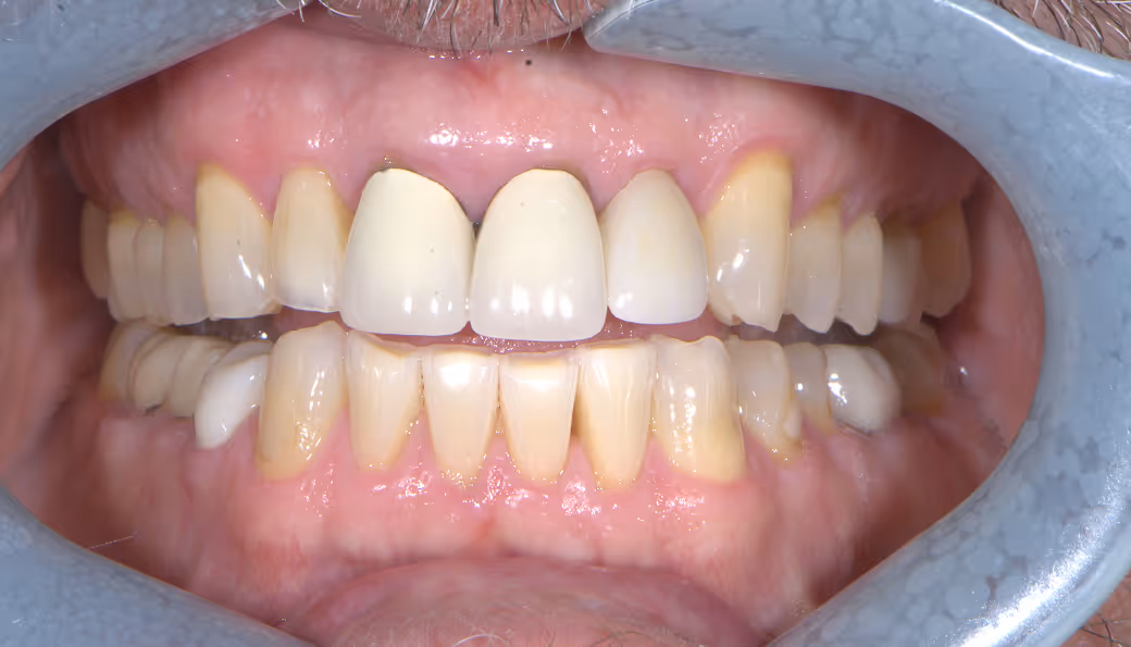
Composite Bonding
Composite bonding to re-establish length of upper central incisors


Composite Bonding
Trauma from falling during hiking, restored tooth with bonding/composite during emergency appt


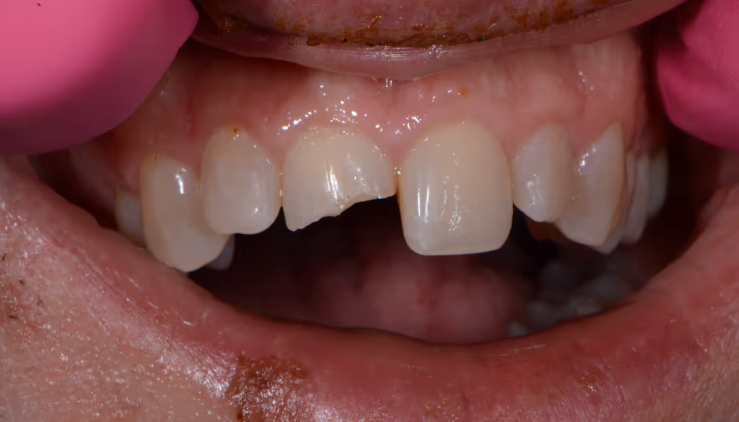
Composite Bonding
Trauma leading to broken tooth, restored tooth with bonding/composite during emergency appt


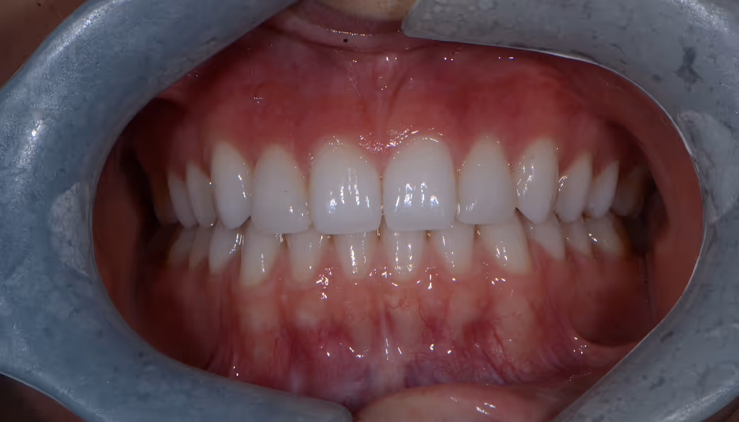
Composite Veneers
Sculpted bonding/composite veneers, upper lateral incisors, balanced tooth sizes, done in one appt


Composite Veneers
Sculpted bonding/composite veneers, upper lateral incisors, balanced tooth sizes, done in one appt


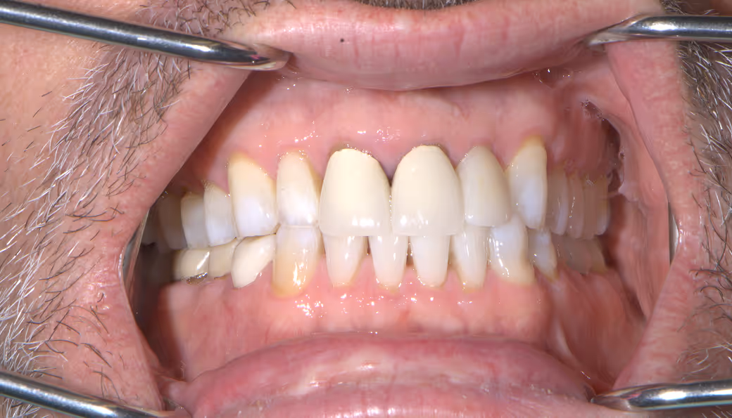
Composite Veneers
Same as above, different view (open/closed)


Fixed Restorative - Veneers & Crowns
Heavily worn, dark and crooked teeth; restored with lab-made restorations to improve esthetics and tooth alignment/positioning


Whitening
KOR (brand) Whitening (combination of in-office and at-home whitening treatments)

